克罗恩初期表现-克罗恩病的早期信号:亲历者的故事,告诉你这些症状不容忽视
创始人
2024-11-19 05:20:32
0

当我第一次听到“克罗恩病”这个词时,我的世界仿佛被一层阴霾笼罩。这不是一个普通的疾病,它悄无声息地侵袭着人们的身体,而初期的症状往往被忽视或误解。作为一个亲历者,我想用我的故事告诉你,那些早期的信号是如此重要,它们可能是我们对抗这场无声战争的第一线索。

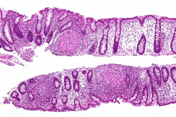
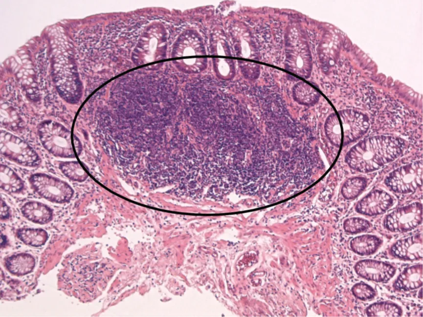
内痔疮的初期表现_克罗恩初期表现_罗恩克病

记得那是一个普通的周末,我突然感到腹部剧烈的疼痛,就像有人在我肚子里搅动刀片。起初,我以为只是吃错了东西,但疼痛持续不断,伴随着无法解释的腹泻和便秘交替出现。我的体重也在不知不觉中下降,每一次照镜子,都感觉自己比昨天更消瘦。

罗恩克病_克罗恩初期表现_内痔疮的初期表现

更让我困扰的是,我的疲劳感越来越严重,哪怕只是做些简单的家务,也会感到筋疲力尽。我开始怀疑自己是不是真的老了,但内心的声音告诉我,这绝不是年龄的问题。情绪上,我也变得异常敏感,一点小事就能让我泪流满面。这些症状,每一个都微不足道,但当它们汇聚在一起时,就像是一。

内痔疮的初期表现_罗恩克病_克罗恩初期表现

内痔疮的初期表现_罗恩克病_克罗恩初期表现

tokenpocket官网版下载:https://cjge-manuscriptcentral.com/software/65916.html

相关内容

热门资讯

安卓系统低配单机游戏,畅享乐趣 你有没有发现,即使是在安卓系统的低配手机上,也能玩到不少好玩的单机游戏呢?没错,今天就来给你好好盘点...
安卓系统有多烂,为何有人称其“... 你有没有发现,安卓系统最近好像有点儿“烂”呢?别急,不是那种烂到无法使用的烂,而是说它在某些方面确实...
安卓10系统的荣耀手机,智能生... 你有没有发现,最近安卓10系统的荣耀手机成了街头巷尾的热门话题呢?这不,我就来给你好好扒一扒这款手机...
安卓手机刷原生系统下载,轻松下... 你有没有想过,你的安卓手机是不是也能焕发出全新的活力呢?没错,就是那种原生系统的感觉,干净利落,速度...
15年安卓车机系统,创新与变革... 你有没有想过,你的爱车其实也有一颗“大脑”?没错,就是那台默默无闻的安卓车机系统。今天,就让我带你深...
使命召唤安卓系统如何转ios系... 你有没有想过,把你的安卓系统上的《使命召唤》游戏转移到iOS系统上玩呢?这听起来是不是有点像一场跨越...
适合安卓系统的耳机,尽享音乐盛... 你有没有想过,一款适合安卓系统的耳机,就像是给你的手机穿上了时尚的配饰,让你的听音体验瞬间升级?没错...
安卓系统最好用的cpu,揭秘最... 你有没有想过,你的安卓手机里那个默默无闻的CPU,其实才是决定手机性能的关键呢?没错,今天就要来聊聊...
视易魔云系统与安卓系统,打造智... 你知道吗?在科技飞速发展的今天,操作系统可是我们生活中不可或缺的好伙伴。今天,咱们就来聊聊两个超级厉...
雅阁六代安卓系统版本,智能体验... 你有没有听说啊?最近汽车界可是炸开了锅,尤其是那些对科技和驾驶体验有着超高要求的家伙们。没错,我要说...
安卓系统怎么解除分屏,轻松解除... 你是不是也和我一样,手机屏幕越来越大,但有时候想一边看视频一边回复消息,却苦于安卓系统的分屏功能无法...
安卓系统刷机怎么操作,轻松实现... 你有没有想过,你的安卓手机是不是已经有点儿“老态龙钟”了呢?别急,别急,今天就来教你怎么给它来个焕然...
各个安卓手机系统优缺点,全面解... 你有没有发现,现在手机市场上安卓手机的品牌和型号真是琳琅满目,让人挑花了眼?每个品牌都有自己的操作系...
安卓手机有找朋友系统吗,内置的... 你有没有想过,你的安卓手机里是不是也藏着一个神秘的小助手,专门帮你找朋友呢?没错,今天就要来揭秘这个...
安卓系统手势密码破解,手势密码... 安卓系统手势密码破解:揭秘背后的技术与风险在数字化时代,手机已经成为我们生活中不可或缺的一部分。而安...
刷掉安卓源码保护的系统,系统逆... 你有没有想过,手机里的那些安卓系统,为什么有时候看起来那么神秘,好像被一层无形的保护罩笼罩着?今天,...
安卓系统超薄大屏幕,安卓系统引... 你有没有发现,最近手机界又掀起了一股新潮流?没错,就是安卓系统超薄大屏幕手机!这种手机不仅颜值爆表,...
平板安卓系统老是重启,探究原因... 你是不是也遇到了这样的烦恼?平板安卓系统老是重启,是不是让你头疼不已?别急,今天就来给你详细分析一下...
重置投影仪安卓系统,轻松恢复设... 你有没有遇到过投影仪突然卡壳,屏幕上满是乱码,让你瞬间感觉回到了那个没有Wi-Fi的年代?别担心,今...
安卓系统能玩的农场游戏,体验田... 你有没有想过,在手机上玩农场游戏,那种亲手耕种、收获的乐趣?现在,就让我带你走进安卓系统中的农场游戏...