老年人肺气肿的症状-肺气肿:从忽视到重视,与病症共存的挑战与希望
创始人
2024-11-23 03:51:43
0

我曾经以为,年纪大了,偶尔咳嗽几声,走路稍微喘气,不过是岁月留下的痕迹。直到有一天,我在公园散步时,突然感觉胸闷气短,咳嗽不止,那是一种前所未有的窒息感。那一刻,我知道,这不是普通的咳嗽,而是肺气肿找上了我。

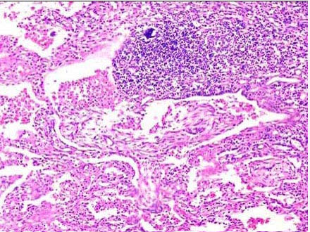
老年人肺气肿致命吗_老人肺气肿有什么症状_老年人肺气肿的症状

肺气肿,这个听起来有些遥远的病症,却悄然无声地侵蚀着我的呼吸。它的症状不仅仅是大声的咳嗽和喘息,更是日常生活中无处不在的限制。我开始意识到,即使是简单的家务活,也会让我喘不过气来。每一次深呼吸,都像是在和自己的身体做斗争。

老年人肺气肿致命吗_老年人肺气肿的症状_老人肺气肿有什么症状

医生告诉我,肺气肿是慢性阻塞性肺疾病的一种,吸烟是主要的诱因之一。我回想起自己年轻时的烟瘾,不禁感到后悔。但后悔无用,现在最重要的是学会与这个病症共存。我开始学习各种呼吸练习,尝试改善生活习惯,希望能缓解症状。

老年人肺气肿的症状_老人肺气肿有什么症状_老年人肺气肿致命吗

肺气肿让我变得更加珍惜每一次呼吸的感觉,也让我学会了更多的自控和自我照顾。我知道,这场与肺气肿的斗争不会轻易结束,但我愿意。

老年人肺气肿的症状_老人肺气肿有什么症状_老年人肺气肿致命吗

老年人肺气肿致命吗_老年人肺气肿的症状_老人肺气肿有什么症状

tokenpocket官网版下载:https://cjge-manuscriptcentral.com/software/65916.html

相关内容

热门资讯

安卓系统怎样解决卡顿,安卓系统... 手机卡顿了,是不是让你头疼不已?别急,今天就来给你支几招,让你的安卓手机焕发新生,告别卡顿的烦恼!一...
安卓打开系统权限界面,解锁设备... 你有没有发现,手机里的安卓系统有时候就像一个超级管家,它知道你想要什么,也知道你需要什么。但是,你知...
ios系统备忘录转安卓系统,i... 你是不是也有过这样的经历?在iOS系统的备忘录里记录了满满当当的笔记,突然有一天,你换了个安卓手机,...
怎么测主板好坏安卓系统,安卓系... 你家的安卓手机最近是不是有点儿不给力啊?是不是怀疑是主板出了问题?别急,今天就来教你怎么测测主板的好...
安卓盒子游戏切换系统,轻松实现... 你有没有发现,家里的安卓盒子最近变得超级好玩?没错,就是那个小小的黑盒子,现在竟然能玩转各种游戏,而...
安卓机2套系统,探索安卓机双系... 你有没有发现,最近你的安卓手机好像变得不一样了?没错,就是那个一直默默陪伴你的小家伙,它竟然悄悄地升...
有哪些流畅安卓系统游戏,盘点那... 你有没有发现,安卓系统上的游戏种类繁多,而且玩起来那叫一个流畅,简直让人停不下来!今天,就让我带你一...
深职通安卓系统下载,便捷校园生... 你有没有听说最近深职通安卓系统下载成了校园里的小热门呢?没错,就是那个能让你轻松管理校园生活的神器!...
安卓现在都用什么系统了,主流版... 你有没有发现,最近你的安卓手机更新系统的时候,总是跳出一些陌生的名字?别急,让我来给你揭秘安卓现在都...
安卓系统完全开源吗?,开源的奇... 安卓系统完全开源吗?亲爱的读者,你是否曾好奇过安卓系统是否真的完全开源呢?这个问题可是不少科技爱好者...
平板买pc系统还是安卓系统,哪... 最近是不是也被平板电脑的操作系统问题给困扰了?是选择PC系统还是安卓系统呢?这可真是个让人纠结的问题...
安卓系统不使用网络时间,安卓系... 你有没有发现,有时候安卓手机的时间总是不太准呢?别急,今天就来给你揭秘为什么安卓系统有时候不使用网络...
怎么使用新的安卓系统,轻松上手... 你有没有发现,最近你的安卓手机更新了新系统?是不是有点小激动,但又有点懵?别急,今天就来手把手教你如...
怎么查手机正品安卓系统,如何轻... 你是不是也和我一样,对手机的正品安卓系统充满了好奇呢?想要确保你的手机用的是真正的安卓系统,而不是什...
安卓系统开机引导根目录,安卓系... 你有没有想过,当你手机屏幕亮起的那一刻,安卓系统是如何从无到有,从暗到明的呢?没错,就是那个神秘的安...
米兔怎么刷安卓系统,轻松升级安... 你有没有想过,你的米兔智能音箱怎么升级到最新的安卓系统呢?别急,今天就来给你详细说说这个话题,让你轻...
手机装纯安卓系统,探索无限可能 你有没有想过,你的手机可以摆脱那些复杂的系统,回归到最原始的安卓魅力呢?没错,今天就要来聊聊这个话题...
安卓设备系统怎么降级,安卓设备... 你有没有发现,你的安卓设备突然变得卡顿了呢?是不是也想回到那个流畅如丝的年代?别急,今天就来教你怎么...
安卓平板操作系统下载,畅享智能... 你有没有想过,拥有一款性能卓越、功能丰富的安卓平板操作系统,让你的生活和工作变得更加便捷呢?想象在阳...
苹果手机完胜安卓系统,引领智能... 你有没有发现,最近身边的朋友都在讨论手机呢?尤其是苹果手机和安卓系统,简直是两大阵营,争论得不可开交...