克罗恩病饮食-克罗恩病患者的饮食调理与生活之道
创始人
2024-12-03 22:45:57
0

作为一个患有克罗恩病的人,饮食对我的生活影响深远。每当我提起这个话题,总是带着一丝无奈和独特的感慨。

scd饮食克罗恩_克罗恩病饮食_克罗恩病食谱大全

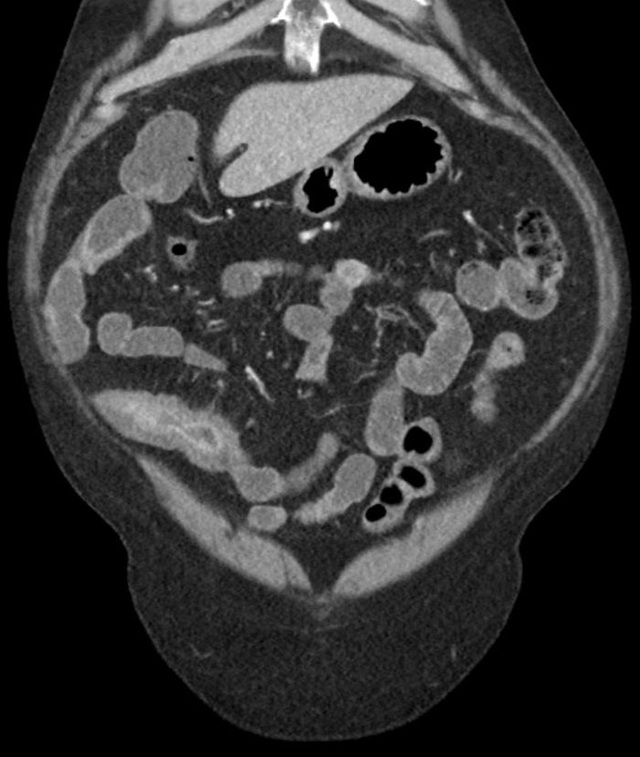
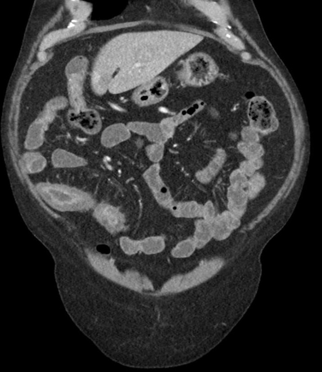
克罗恩病是一种慢性炎症性肠道疾病,会给日常饮食带来很多限制和挑战。我深刻体会到了饮食对疾病的影响,学会了慢慢调整自己的饮食习惯,寻找适合自己的饮食之道。

克罗恩病食谱大全_scd饮食克罗恩_克罗恩病饮食

在饮食方面,我学会了要避免食用刺激性食物,如辛辣食物、咖啡因和酒精等,这些食物可能会刺激肠道,导致病情加重。我开始更加注重摄入高纤维食物,如水果、蔬菜和全麦食品,这有助于促进肠道蠕动,减轻炎症。

克罗恩病饮食_克罗恩病食谱大全_scd饮食克罗恩

此外,我还学会了慢慢尝试各种饮食调理方法,如低渣饮食、无乳糖饮食或者低碳水化合物饮食等。每个人的体质和病情都不同,需要找到最适合自己的饮食方式。我也意识到,饮食调理只是治疗克罗恩病的一部分。

克罗恩病食谱大全_scd饮食克罗恩_克罗恩病饮食

telegeram安卓版:https://cjge-manuscriptcentral.com/software/65724.html

相关内容

热门资讯

安卓243g系统手机,新功能与... 你有没有听说最近安卓243G系统手机的风头正劲?这可不是空穴来风,而是真的火得一塌糊涂。今天,就让我...
安卓系统吃鸡配置表,告别卡顿! 你有没有想过,为什么有些小伙伴在玩《和平精英》的时候,总是能轻松吃鸡,而你却卡得像蜗牛一样?别急,今...
怎么把苹果换为安卓系统,轻松实... 你有没有想过,把你的苹果手机换成安卓系统呢?是不是觉得苹果的系统太封闭,想试试看安卓的无限可能?别急...
定制v需要安卓系统多少,探索不... 你有没有想过,为什么有些手机可以运行那么多好玩的应用,而你的安卓手机却只能装那么点?这其中的奥秘就在...
荣耀7i安卓系统,全面体验与功... 你有没有听说过荣耀7i这款手机?它可是安卓系统里的一个小明星呢!今天,就让我带你一起深入了解一下这款...
美国禁止安卓系统授权吗,影响与... 美国禁止安卓系统授权吗?在数字化时代,智能手机已经成为我们生活中不可或缺的一部分。无论是工作、学习还...
安卓系统更新在那个文件,文件生... 你有没有发现,每次安卓系统更新后,手机都变得焕然一新呢?不过,你知道吗?这些神奇的更新其实都藏在一个...
惠管家收银系统安卓版,助力商家... 你有没有想过,在繁忙的超市、商场或者小店里,收银员的工作是不是也能变得轻松愉快一些呢?现在,就让我来...
安卓系统电视机黑屏,安卓电视黑... 你家的安卓系统电视机突然黑屏了,是不是心里直发慌?别急,让我来给你详细说说这个棘手的问题,帮你一步步...
电话手表安卓系统出错,电话手表... 最近是不是也有不少小伙伴在使用电话手表的时候遇到了安卓系统出错的尴尬情况?这可真是让人头疼啊!今天,...
安卓系统软件登录不了,安卓系统... 最近是不是你也遇到了安卓系统软件登录不进去的烦恼?别急,让我来帮你一步步排查,找出问题所在,让你重新...
安卓系统时间点怎么设置,副标题... 你有没有发现,手机上的时间有时候会和你心中的时间差个十万八千里?别急,今天就来教你怎么在安卓系统里设...
现在的系统是安卓几,揭秘当前版... 你有没有发现,手机里的那个小玩意儿,那个能让你随时随地刷剧、聊天、玩游戏的安卓系统,它好像又升级了!...
奥迪怎么换安卓系统教程,奥迪汽... 你有没有想过给你的奥迪汽车来个系统升级,让它变得更加智能、酷炫呢?没错,今天就要来手把手教你如何将奥...
怎样关闭安卓系统不升级,享受稳... 手机系统更新这事儿,真是让人又爱又恨。有时候,新系统带来的新功能让人眼前一亮,但有时候,那些更新后的...
安卓系统的导航刷机,轻松实现个... 你有没有想过,你的安卓手机导航功能突然变得卡顿,地图更新总是慢吞吞的?别急,今天就来给你揭秘如何通过...
安卓是那个国家系统,源自哪个国... 你知道吗?在我们日常生活中,手机已经成为了我们不可或缺的伙伴。而说到手机系统,安卓可是占据了半壁江山...
安卓国际服系统繁忙,揭秘背后原... 最近是不是你也遇到了这样的烦恼?手机里那个你爱不释手的安卓国际服,突然间变得超级“高冷”,每次打开都...
安卓10系统的外挂,功能拓展与... 你知道吗?最近安卓10系统可是火得一塌糊涂,不过,火归火,有些人却动起了歪脑筋,想要通过外挂来获取不...
双击熄屏的安卓系统,安卓系统便... 你知道吗?最近安卓系统又来了一次大更新,其中最引人注目的功能之一就是“双击熄屏”。这听起来是不是很酷...