克罗恩病的鉴别诊断-克罗恩病与溃疡性结肠炎的区别及鉴别诊断方法详解
创始人
2024-12-13 07:19:14
0

克罗恩病,一种慢性炎症性肠病,常常与其他肠道疾病混淆,因此正确的鉴别诊断显得尤为重要。作为一名消化内科医生,我时刻关注着克罗恩病的鉴别诊断,并希望通过本文为大家提供一些参考。

判断克罗恩病的依据是什么_诊断克罗恩病的检查首选的是_克罗恩病的鉴别诊断

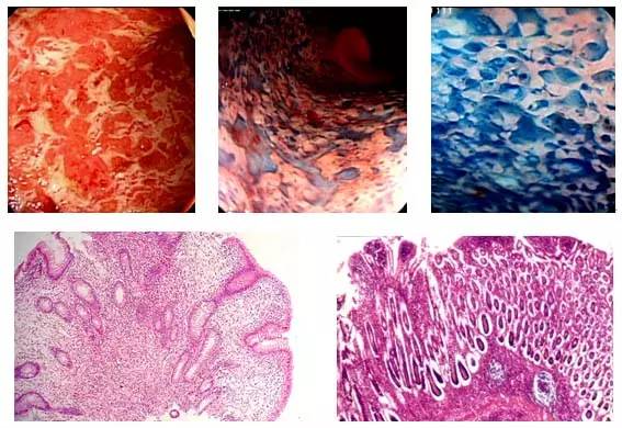
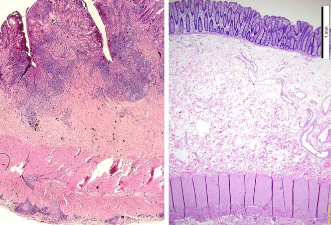
首先,克罗恩病与溃疡性结肠炎是两种常见的炎症性肠病,它们在临床表现和病理生理上有许多相似之处,但也存在一些区别。克罗恩病可累及消化道的任何部位,而溃疡性结肠炎主要累及结肠和直肠。因此,在影像学检查中,克罗恩病表现为跳跃性的、不连续的病变,而溃疡性结肠炎则呈连续性病变。

判断克罗恩病的依据是什么_诊断克罗恩病的检查首选的是_克罗恩病的鉴别诊断

其次,克罗恩病还需与其他肠道疾病进行鉴别,如肠结核、肠道感染、肠道肿瘤等。在鉴别诊断中,患者的病史、临床表现、实验室检查和影像学检查都至关重要。例如,克罗恩病患者常伴有腹泻、腹痛、体重下降等症状,血清C反应蛋白和血沉常常升高,结肠镜检查可见典型的病变特征,如充血、溃疡、瘘管等。

诊断克罗恩病的检查首选的是_判断克罗恩病的依据是什么_克罗恩病的鉴别诊断

最后,克罗恩病的治疗与其他肠道疾病有所不同,因此正确的鉴别诊断有助于制定个体化的治疗方案。克罗恩病的治疗既包括控制炎症的药物治疗,如5-氨基水杨酸类药物、免疫抑制剂等,也包括维持缓解的药物治疗,如激素、生物制剂。

判断克罗恩病的依据是什么_克罗恩病的鉴别诊断_诊断克罗恩病的检查首选的是

克罗恩病的鉴别诊断_诊断克罗恩病的检查首选的是_判断克罗恩病的依据是什么

tokenpocket官网版下载:https://cjge-manuscriptcentral.com/software/65916.html

相关内容

热门资讯

ios系统怎样与安卓系统传文件... 你是不是也和我一样,手机里存了好多好用的文件,有时候想和朋友们分享,却发现iOS系统和安卓系统之间传...
安卓系统的扫码卫士,全方位守护... 你有没有发现,现在的生活越来越离不开手机了?手机里装满了各种应用,其中有一个小家伙,可是保护你手机安...
安卓系统如何提高流畅度,解锁流... 你有没有发现,随着手机越来越普及,安卓系统也变得越来越强大,但有时候用起来还是有点卡呢。别急,今天就...
如何搞懂安卓手机系统数据,安卓... 你有没有发现,你的安卓手机里藏着无数秘密?那些看似杂乱无章的数据,其实都是你生活的点点滴滴。搞懂这些...
慧行者安卓系统怎么用,高效体验 你有没有听说最近超级火的慧行者安卓系统?这款系统可是让不少手机控们兴奋不已呢!今天,我就来给你详细介...
vmware虚拟安装安卓系统,... 哇,你有没有想过在电脑上体验安卓系统的乐趣?想象那些你手机上常用的应用,现在都能在电脑上无缝运行,是...
安卓系统如何免密码下载,轻松实... 你是不是也和我一样,对安卓系统的便捷性爱不释手,但又觉得每次下载应用都要输入密码实在麻烦?别急,今天...
安卓系统如何使用趣键盘,个性化... 你有没有发现,手机打字的时候,是不是总感觉手指在键盘上跳舞,却还是有点儿笨拙呢?别急,今天就来教你怎...
从零编写安卓系统txt,文本解... 你有没有想过,自己动手编写一个安卓系统的txt文件?听起来是不是有点不可思议?但别急,今天我就要带你...
surface平板改安卓系统版... 你有没有想过,你的Surface平板其实可以变身成安卓的小精灵呢?没错,就是那个我们日常使用的安卓系...
安卓系统框架层开发分屏,And... 你有没有想过,手机屏幕那么大,有时候看视频、玩游戏或者处理工作,一个屏幕真的不够用呢?别急,今天就来...
安卓开机提示系统未更新,揭秘背... 亲爱的手机用户,你是不是也遇到过这样的烦恼:每次开机,安卓系统都会跳出一个提示,告诉你“系统未更新”...
安卓系统汽车音响设置,打造个性... 你有没有发现,现在越来越多的汽车都开始搭载安卓系统了呢?这不,我最近就入手了一辆搭载了安卓系统的汽车...
安卓系统机型有哪些,全面解析各... 你有没有发现,现在手机市场上安卓系统的机型真是琳琅满目,让人眼花缭乱?今天,就让我带你一起探索安卓系...
苹果能搞安卓系统吗,苹果能否研... 你有没有想过,苹果这个以独特魅力著称的科技巨头,能不能把它的安卓系统也搞起来呢?这可不是空穴来风,让...
安卓系统网律app,构建和谐网... 你有没有发现,手机里的安卓系统越来越智能了?这不,最近有个叫做“网律”的APP,在安卓用户中可是火得...
pad属于安卓系统还是苹果系统... 你有没有想过,那个陪伴你上课、工作、娱乐的小家伙——pad,它到底属于安卓系统还是苹果系统呢?这个问...
安卓系统的牌子都有哪些,探索多... 你有没有发现,手机的世界里,安卓系统就像是个大家庭,里面住着各种各样的“牌子”呢?这些牌子各有特色,...
原生态安卓系统img,揭秘系统... 你有没有想过,手机里的操作系统竟然也能有原生态的感觉?今天,就让我带你一起探索一下这个神秘的领域——...
在哪看手机系统是安卓,安卓系统... 你有没有想过,你的手机系统是安卓,但你知道在哪可以找到更多关于安卓系统的信息吗?今天,就让我带你一探...