肺空洞是什么病?这是一个让人困惑的问题,但作为一名资深医生,我将为你揭开这个谜团。
1.什么是肺空洞?

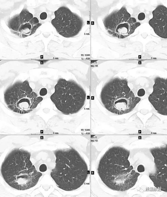
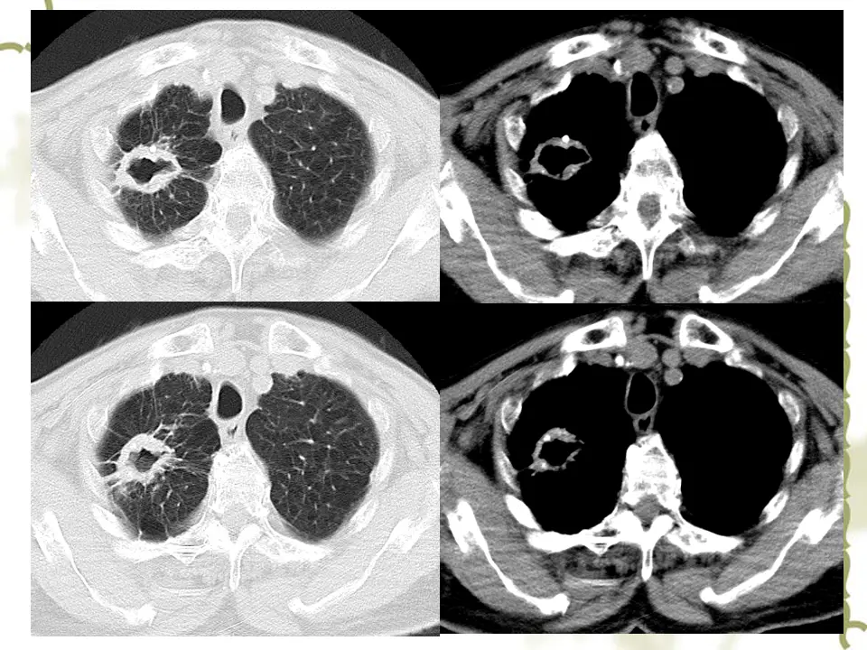
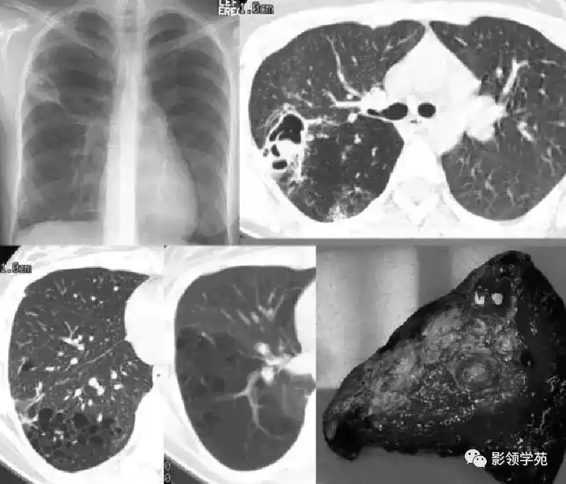
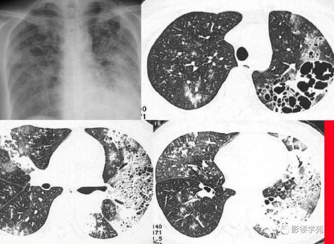
肺空洞是一种常见的疾病,它在肺部形成了一个孔洞。这个孔洞通常由于感染引起的肺组织坏死而形成。最常见的原因是结核菌感染,但也可能与其他细菌、真菌或寄生虫感染有关。当感染侵袭肺部时,免疫系统会试图清除感染,但有时会导致肺组织死亡,并形成空洞。

2.肺空洞的症状和诊断

肺空洞的症状各异,包括持续咳嗽、咳出血痰、胸痛以及呼吸困难。然而,有些人可能没有任何明显的症状。要确诊肺空洞,医生通常会进行一系列检查,包括胸部X射线、CT扫描和支气管镜检查。这些检查可以帮助医生确定肺部是否存在空洞,并排除其他可能的疾病。

3.肺空洞的治疗和预防
治疗肺空洞的方法取决于其原因和严重程度。对于结核菌感染引起的肺空洞,抗结核药物是主要的治疗方法。
telegeram安卓版:https://cjge-manuscriptcentral.com/software/65724.html